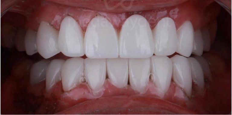
IPS e.max Cam Seramik Restorasyon
Gülüş tasarımında doğallığı yakalamak adına, diş dokusuna minimum müdahale ile IPS e.max cam seramik lamine uygulaması gerçekleştirildi. Klasik ölçü yöntemleri…
Detayı İnceleReferanslarımız
Kliniğimizde gerçekleştirilen zirkonyum, implant üstü protez, All-on-4 ve dijital restorasyon vakalarından seçkin örnekler. Diş laboratuvarı hizmetlerimizi inceleyebilir ya da İstanbul dental laboratuvar süreçlerimiz hakkında detaylı bilgi alabilirsiniz.
Gülüş tasarımında doğallığı yakalamak adına, diş dokusuna minimum müdahale ile IPS e.max cam seramik lamine uygulaması gerçekleştirildi. Klasik ölçü yöntemleri…
Detayı İnceleÜst ve alt arkadaki estetik uyumsuzluklar, hassas ölçü ve dijital kazıma teknikleriyle hazırlanan zirkonyum restorasyonlar ile giderildi. Kişiye özel belirlenen…
Detayı İnceleGeleneksel ölçü yönteminin sağladığı hassas detaylar, dijital kazıma teknolojisinin hızıyla birleştirilerek mikron düzeyinde marjin uyumu ve ideal oklüzal form elde…
Detayı İnceleEmpress cam seramik lamine uygulamasıyla, klasik ölçü hassasiyeti ve dijital kazıma teknolojisi birleştirilerek doğal bir gülüş tasarımı sağlandı. Minimal bir…
Detayı İnceleYüksek dayanıklılık ve estetik görünümü bir araya getiren Zirkonyum kaplamalar ile hastamız için doğal ve beyaz bir gülüş tasarımı sağlandı.…
Detayı İncele