Vaka Çalışması

Alt ve Üst Arkta Estetik Bütünlük

Dijital planlama ve kontrollü üretim süreciyle hazırlanmıştır.

  • Klinik --
  • Tarih

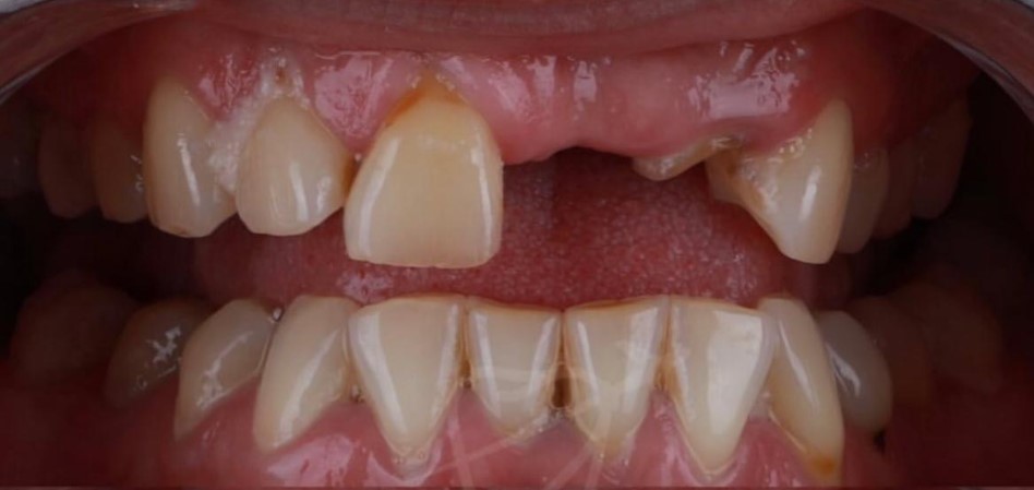
Önce / Sonra

Kaydırıcıyı sürükleyerek öncesi ve sonrasını karşılaştırın.

  • ✔ Dijital ölçü kabul edilir
  • ✔ Planlı üretim süreci
  • ✔ Klinik iletişim desteği

Benzer Bir Vaka Planlıyorsanız

Görüşelim

Teknik Detaylar

Üst ve alt arkadaki estetik uyumsuzluklar, hassas ölçü ve dijital kazıma teknikleriyle hazırlanan zirkonyum restorasyonlar ile giderildi. Kişiye özel belirlenen ideal beyazlık tonuyla, diş etiyle uyumlu ve doğal ışık geçirgenliğine sahip bir gülüş tasarımı finalize edildi.

  • ✔ Dijital ölçü kabul edilir
  • ✔ Planlı teslim süreci
  • ✔ Klinik iletişim desteği

Vakayı Birlikte Planlayalım

Benzer bir klinik ihtiyacınız varsa süreci birlikte değerlendiririz. Dijital planlama desteği ve klinik koordinasyonu için ekibimiz her aşamada yanınızdadır.

  • İstanbul içi 72 saat teslimat
  • Renk, form ve uyum kontrolü
  • Dijital ölçü kabul edilir

Kliniklerle Planlı İş Birliği

Kliniğinizin iş birliği sürecine nasıl dahil olabileceğini, dijital planlama altyapımızı ve koordinasyon modelimizi detaylı biçimde inceleyebilirsiniz.

Klinik İş Birliği Modeli