Protetik Diş Laboratuvarı
İstanbul Dental Laboratuvar Zirkonyum ve E-max Sabit Protez Üretimi
10 yılı aşkın protetik üretim deneyimimizle zirkonyum ve e.max restorasyonlar tasarlıyor ve üretiyoruz. Dijital STL dosyası ya da konvansiyonel ölçüden başlayan her vaka, estetik uyum ve uzun ömür hedefiyle hazırlanır; ortalama 72 saat içinde kliniğinize teslim edilir.
Hizmetlerimiz
Hangi Vakayı Gönderirseniz Gönderin, Teknik Karşılığı Var
Monolitik zirkonyumdan tam ark implant üstü köprüye, cam seramik veneerden dijital wax-up onayına kadar her restorasyon; teknik protokolü önceden netleştirilmiş, teslim tarihi sabit ve çift bağımsız kontrolden geçmiş olarak kliniğinize ulaşır.
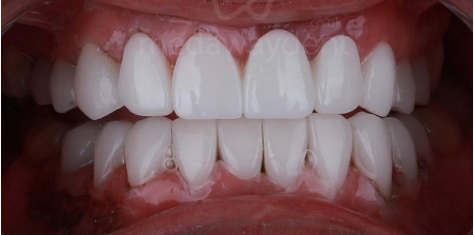
Zirkonyum Protez
Monolitik ve katmanlı zirkonyum kron, köprü ve implant üstü yapılar. Yüksek translusanlı bloklarla üretilir; renk geçişi ve translüsanlık klinik göz için fark edilebilir düzeyde tutulur.
e.max Cam Seramik
Estetik bölge için birinci tercih. IPS e.max Press ve CAD altyapısıyla veneer, inley, onley ve tam kron üretimi yapılır. Minimum preparasyon toleransı 0.3 mm'ye kadar çalışılır.
İmplant Üstü Protez
Ti-base ve multi-unit abutment uyumlu yapılar. Dijital kütüphane üzerinden çalışılır; marka bazlı doğrulama süreci dahildir.
Dijital İş Akışı Entegrasyonu
STL dosyası, intraoral tarayıcı çıktısı veya taranmış fiziksel model kabul edilir. Wax-up onayı ve dişeti simülasyonu süreç öncesinde sunulabilir.
Neden DentalLaboratuvar?
Doğru laboratuvar seçimi, kliniğinizin en sessiz risk kaynağını ortadan kaldırır.
Ortalama Teslim Süresi
Rutin vakada ortalama teslim süresi 72 saattir. Kompleks ve çok üniteli vakalar önceden netleştirilir; sürpriz gecikme yaşanmaz.
Bağımsız Kalite Doğrulaması
Her restorasyon, üretim çıkışından sonra ikinci bir teknisyen tarafından bağımsız olarak değerlendirilir. Boyutsal uyum, yüzey kalitesi ve renk tespiti kayıt altına alınır.
Teknisyen Deneyimi
Ekibimiz zirkonyum, cam seramik ve implant üstü yapıları günlük olarak üreten teknisyenlerden oluşur. Teknik soruların muhatabı, üretimi koordine eden kişinin kendisidir.
Vaka Çalışmaları
Üretimden Çıkmış Vakalar
Başlayalım
Bir Sonraki Vakayı Birlikte Planlayalım.
Restorasyonun boyutsal uyumu, renk tekrarlanabilirliği veya teslim süresi konusunda öngörülebilirlik arayışındaysanız bir deneme vakasıyla başlayabilirsiniz.
Yanıt süresi genellikle 1 iş saatinin altındadır.
Tek Seferlik Sipariş Değil, Planlı İş Birliği
Yeni kliniklerle çalışmaya başlarken ilk vakada süreci birlikte planlarız: ölçü formatı, teslim takvimi ve teknik tercihler baştan netleştirilir. Sonraki siparişlerde aynı koordinasyon sürdürülür, sıfırdan başlanmaz.
İlk vakada memnun kalmazsanız üretim yenilenir. Gecikme veya boyutsal uyumsuzluk kaynaklı sorunlarda ek ücret talep edilmez.