Vaka Çalışması

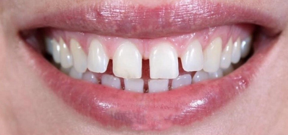
Cam Seramik Lamine Uygulaması

Dijital planlama ve kontrollü üretim süreciyle hazırlanmıştır.

Emax cam seramik

  • Klinik --
  • Teknik Lamine
  • Tarih

Önce / Sonra

Kaydırıcıyı sürükleyerek öncesi ve sonrasını karşılaştırın.

  • ✔ Dijital ölçü kabul edilir
  • ✔ Planlı üretim süreci
  • ✔ Klinik iletişim desteği

Benzer Bir Vaka Planlıyorsanız

Görüşelim

Teknik Detaylar

Empress cam seramik lamine uygulamasıyla, klasik ölçü hassasiyeti ve dijital kazıma teknolojisi birleştirilerek doğal bir gülüş tasarımı sağlandı. Minimal bir yaklaşımla tamamlanan bu estetik restorasyon, diş dokusu korunarak yüksek canlılık ve beyazlık sundu.

Kullanılan Materyal

Cam Seramik

Üretim Süresi

3 Gün

  • ✔ Dijital ölçü kabul edilir
  • ✔ Planlı teslim süreci
  • ✔ Klinik iletişim desteği

Vakayı Birlikte Planlayalım

Benzer bir klinik ihtiyacınız varsa süreci birlikte değerlendiririz. Dijital planlama desteği ve klinik koordinasyonu için ekibimiz her aşamada yanınızdadır.

  • İstanbul içi 72 saat teslimat
  • Renk, form ve uyum kontrolü
  • Dijital ölçü kabul edilir

Kliniklerle Planlı İş Birliği

Kliniğinizin iş birliği sürecine nasıl dahil olabileceğini, dijital planlama altyapımızı ve koordinasyon modelimizi detaylı biçimde inceleyebilirsiniz.

Klinik İş Birliği Modeli